Η αρθρίτιδα του ώμου αποτελεί μία πάθηση κατά την οποία ο αρθρικός χόνδρος έχει φθαρεί. Είναι λιγότερο συχνή από ότι η αρθρίτιδα του ισχίου ή του γόνατος, λόγω του γεγονότος ότι είναι μία άρθρωση που δε φορτίζεται όσο οι υπόλοιπες. Η αρθρίτιδα είναι μία μη αναστρέψιμη βλάβη, η οποία καθιστά τον ώμο επώδυνο και μη λειτουργικό.

Ποια είναι τα συχνότερα αίτια της αρθρίτιδας του ώμου;

  • Η φυσιολογική σταδιακή φθορά του χόδρου με την πάροδο της ηλικίας
  • Η τραυματικής αιτιολογίας χονδροπάθεια
  • Η αρθρίτιδα μετά από ρήξη τενοντίου πετάλου
  • Η ρευματοειδής αρθρίτιδα
  • Η χρόνια αστάθεια του ώμου

Τα κύρια συμπτώματα της οστεοαρθρίτιδας του ώμου είναι ο πόνος, η αδυναμία και ο περιορισμός της κίνησης. Τα παραπάνω συμπτώματα περιορίζουν τον πάσχοντα στην καθημερινότητά του και μειώνουν αισθητά την ποιότητα ζωής του. Σε προχωρημένα στάδια της πάθησης ο περιορισμός της κίνησης είναι τόσο έντονος που ο ασθενής δεν είναι σε θέση να φέρει το χέρι στο κεφάλι ή να φροντίσει για την καθαριότητά του. Ανάλογα με τις δραστηριότητες του ασθενούς μπορεί ο πόνος κατά τη διάρκεια της μέρας να επιδεινωθεί.

Σταδιακά ο ώμος γίνεται ατροφικός ενώ πολλοί ασθενείς παραπονούνται ότι το βράδυ δεν μπορούν να κοιμηθούν λόγω του νυχτερινού τους πόνου. Ο ώμος είναι συχνά ζεστός και πονάει στις αλλαγές του καιρού. Όπως σε κάθε είδους αρθρίτιδα, τα συμμπτώματα έχουν εξάρσεις και υφέσεις. Με την πάροδο των χρόνων, οι εξάρσεις γίνονται ολοένα και πιο συχνές ενώ τα μεσοδιαστήματα ηρεμίας γίνονται ολοένα και μικρότερα.

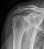
Η διάγνωση τίθεται από το ιστορικό του ασθενούς, την κλινική εξέταση και τις απλές ακτινογραφίες. Στις απλές ακτινογραφίες ο ορθοπαιδικός αξιολογεί την ύπαρξη οστεόφυτων και τη στένωση του μεσάρθριου διαστήματος.

Αρθρίτιδα ώμου

Η θεραπεία εξαρτάται κυρίως από το στάδιο της πάθησης. Στα αρχικά στάδια ενδείκνυται η συντηρητική θεραπεία. Στα συντηρητικά μέσα αντιμετώπισης της αρθρίτιδας περιλαμβάνεται η αλλαγή τρόπου ζωής με αποφυγή των δραστηριοτήτων που προκαλούν έξαρση των συμπτωμάτων, η χρήση μη στεροειδών αντιφλεγμονωδών φαρμάκων και η φυσικοθεραπεία. Η φυσικοθεραπεία έχει ως στόχο τη διάταση των μυών και των συνδέσμων, την ενδυνάμωση και τη βελτίωση του εύρους κίνησης του ώμου. Επιπλέον, οι τοπικές εγχύσεις κορτιζόνης, υαλουρονικού οξέος ή πλάσματος πλούσιου σε αιμαπετάλια (θεραπεία PRP) μπορούν να μειώσουν τα συμπτώματα και να ανακουφίσουν για ένα μεγάλο χρονικό διάστημα τον ασθενή.

Σε προχωρημένα στάδια οστεοαρθρίτιδας η συντηρητική θεραπεία δεν έχει συνήθως το επιθυμητό αποτέλεσμα. Σε αυτές τις περιπτώσεις η λύση είναι η χειρουργική επέμβαση. Υπάρχουν οι εξής χειρουργικές επιλογές:

  • Η του ώμου, κατά την οποία αφαιρούνται τα ελεύθερα σώματα από αρθροσκόπηση την άρθρωση, αφαιρείται ο ερεθισμένος αρθρικός υμένας, αντιμετωπίζεται η παθολογία της μακράς κεφαλής του δικεφάλου και λειαίνεται ο αρθρικός χόνδρος.
  • Η αρθροπλαστική του ώμου ειναι η λεγόμενη “αλλαγή της άρθρωσης’’, δηλαδή η αφαίρεση της φθαρμένης επιφάνειας και η αντικατάστασή της με τεχνητά εμφυτεύματα (προθέσεις). Ενδείκνυται σε προχωρημένα στάδια της πάθησης, όπου ο χόνδρος έχει φθαρεί ολοκληρωτικά.

Για την άρθρωση του ώμου υπάρχουν δύο επιλογές αρθροπλαστικής.

Η ανατομική αρθροπλαστική κατά την οποία αντικαθίσταται η κεφαλή του βραχιονίου και η επιφάνεια της ωμογλήνης με τεχνητά εμφυτεύματα διατηρώντας την φυσιολογική ανατομική εικόνα της άρθρωσης του ώμου. Η ανατομική αρθροπλαστική ενδείκνυται όταν το στροφικό πέταλο του ασθενούς είναι ακέραιο.

Η δεύτερη επιλογή αρθροπλαστικής είναι η ανάστροφη ολική αρθροπλαστική κατά την οποία αντικαθίστανται οι αρθρικές επιφάνειες αλλάζοντας τη φυσιολογική ανατομική εικόνα του ώμου. Μετά από την ανάστροφη ολική αρθροπλαστική το σφαιρικό κομμάτι της άρθρωσης ανήκει πλέον στην πλευρά την ωμοπλάτης ενώ το κοίλο τμήμα ανήκει στην πλευρά του βραχιονίου οστού. Αυτή η ανατομική παραλλαγή ενδείκνυται σε περιπτώσεις στις οποίες το στροφικό πέταλο έχει υποστεί ρήξη και επιτρέπει στην άρθρωση να λειτουργεί χωρίς προβλήματα.

Αρθρίτιδα ώμου

Ποια είναι η μετεγχειρητική αποκατάσταση μετά από ολική αρθροπλαστική του ώμου;

Μετά την ολική αρθροπλαστική απαραίτητη είναι η σωστή μετεγχειρητική αποκατάσταση. Η φυσικοθεραπεία βοηθά αρχικά στη βελτίωση του εύρους κίνησης ενώ αργότερα βοηθά συνολικά στην ενδυνάμωση της άρθρωσης επιτρέποντας έτσι στον ασθενή την ομαλἠ και ανώδυνη επάνοδο στις καθημερινές του δραστηριότητες.